powrót

Choroby zebów u królików i gryzoni


Artykuł napisany przez p.dr.med. wet. M.Zahner z kliniki ortopedyczno-szczękowej i dentystycznej małych zwierząt.

Choroby zębów u królików, świnek morskich i innych małych zwierząt.

Choroby zebów u królikaChoroby w obrębie jamy ustnej, są najczęstszą przyczyna braku apetytu u królików, świnek i innych zwierzątek domowych jak szynszyla, chomiki i szczury. Brak apetytu jest tez najczęstszym powodem wizyt w gabinecie weterynaryjnym. Nieprawidłowe żywienie jest głównym skutkiem problemów z zębami.

Najlepsza profilaktyka jest karmienie naszych zwierząt sianem i trawa (bez ograniczenia)!



Jakie są objawy chorób zębów i szczeki u małych zwierząt ?

Choroby zebów u królikaChoroby związane ze zgryzem, są często późno wykrywane przez opiekunów. Przyczyna tego jest, ze zwierzęta rzadko kiedy dostają odmierzona racje jedzenia, zazwyczaj dostają pełna miseczkę. Często słyszymy od opiekuna, ze ich zwierzątka są zawsze podpatrywane podczas jedzenia i żucia. Jednak trudno tak naprawdę zauważyć, czy zwierzak rozdrabnia dostatecznie pokarm i go połyka. Dlatego nie należy do rzadkości, że pokazywane nam (weterynarzom) są zwierzęta dopiero wtedy gdy właściciel zauważy duże wychudzenie ulubieńca. Często ogólny stan zwierzęcia jest już słaby. Z tego powodu ważne jest wczesne rozpoznanie najmniejszych nawet objawów kłopotów z zębami. Co tygodniowe ważenie jest obiektywną wskazówka , czy zwierzak je tyle ile potrzebuje. Ubytek wagi o 5% powinien być sygnałem dla opiekuna, do bacznej obserwacji pupila, a przede wszystkim kontrolowania ilości wydalanych bobków. Choroby zebów u królikaKrzywe ścieranie siekaczy wskazuje na problemy w obrębie zębów trzonowych. Zwiększone przeżuwanie bez jedzenia, ślinienie, są następnymi oznakami choroby zębów i szczeki. Zwierzęta z zaślinionym pyszczkiem i szyja nazywa się potocznie "slobber". Twarda i miękka opuchlizna na szczęce dolnej lub na podgardlu, mogą wskazywać na zaawansowaną chorobę żuchwy. Także zwiększona gałka oczna, łzawienie i wyciek z nosa mogą wskazywać na problem z zębami. Reasumując , każda zmiana w pobieraniu pożywienia powinna być argumentem dla opiekuna do przedstawienia swojego zwierzaka lekarzowi weterynarii.





Jak weterynarz zdiagnozuje chorobę zębów u mojego zwierzaka ?

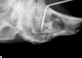
Choroby zebów u królikaW przychodni lekarz obejrzy najpierw głowę i szczękę , siekacze i zgryz można łatwo sprawdzić podnosząc wargi królika. Specjalnym oświetlonym otoskopem (z metalowa końcówką), można ocenić zęby przedtrzonowe oraz miękkie części np. język, policzki. Przy najmniejszym podejrzeniu anomalii cała jama gębowa powinna zostać dokładnie przebadana. Z powodu dużego zagrożenia urazami podczas badania, powinno być one przeprowadzone pod narkoza. Choroby zebów u królika Tylko podczas znieczulenia ogólnego można przeprowadzić szczegółowe badanie wszystkich miejsc w szczęce. Zdjęcie rentgenowskie przy zamkniętej i otwartej szczęce , pozwoli wykryć szczękowo-ortopedyczne problemy. Poza tym można zobaczyć przerost zębów, czy zmian kości i korzeni spowodowanych ropniem.




Jakie są najczęstsze problemy z jedzeniem ?

Choroby zebów u królikaPrzy powstawaniu chorób zębów, jest ważne rozróżnianie anatomicznej specyficzności zwierząt domowych. Wszystkie gryzonie i zajęczaki posiadają hypsodonyczne siekacze, która maja tą właściwość , ze przez cale życie rosną. U królików, zająców, świnek i szynszyli także zęby trzonowe stale rosną, zęby trzonowe chomików, myszy i szczurów maja korzenie i nie rosną. W konsekwencji rosnące stale zęby musza być ścierane z taka regularnością z jaka rosną. Trzeba sobie zdawać sprawę z faktu, że zęby królików czy świnek rosną od 1 do 3mm tygodniowo. Jeśli równowaga pomiędzy przyrostem, a ścieraniem zostanie zachwiana może dojść do ogromnych problemów ze zgryzem u tych zwierząt. To jest powód dlaczego błędy w żywieniu - niskie, nierównomierne, ścieranie stale rosnących zębów, jest główna przyczyna chorób zębów i szczeki u naszych małych zwierząt domowych.




Jakie problemy mogą wystąpić ?

Choroby zebów u królikaTypowe następstwo dysproporcji pomiędzy przyrostem zębów ,a zużyciem ich, jest uzależniony przez nadmierny przyrost, ucisk na powierzchnie gryzącej zębów trzonowych. Przez ten nacisk, zęby się odchylają ze swojej normalnej pozycji, dochodzi do nierównomiernego ścierania zębów i wytworzenia się ostrych kantów. Te krawędzie tworzą się w szczęce dolnej, do środka, do języka, w górnej szczęce do zewnątrz , w kierunku policzków. Następstwem są masywne rany języka spowodowane ostrymi jak żyletka krawędziami zębów szczeki dolnej, oraz uszkodzenie błony śluzowej policzków przez zęby szczeki górnej. Poprzez odkładania się resztek jedzenia w tych skaleczeniach, rany mogą przybrać ogromny rozmiar, a z nich powstają głębokie wrzody, uniemożliwiające żucie. Choroby zebów u królikaW szczęce dolnej świnki morskiej poprzez rozrost ostrych krawędzi może powstać mostek z przerośniętych zębów nad językiem. Naturalne przełykanie , które odbywa się z pomocą języka staje się niemożliwe.

Innym następstwem dysproporcji pomiędzy przyrostem , a zużyciem zębów jest ich wydłużenie się, w taki sposób, ze zęby trzonowe stykają się cały czas ze sobą. Przez związany z tym nadmierny ucisk, dochodzi do uszkodzenia tkanki w obrębie korzeni zębów trzonowych. To może doprowadzić nawet do przerostu korzeni w przeciwnych kierunkach. Często można zaobserwować przerośnięty korzeń dochodzący aż do gałki ocznej, lub uszkadzający kanalik łzowy. Choroby zebów u królikaW szczęce dolnej za to można wyczuć twarde lub miękkie pogrubienia pod spodem pyszczka, które rozwijają się w stany zapalne kości lub ropnie. Dlatego powiększenie gałki ocznej, łzawienie i wyciek z nosa jak i pogrubienia w obrębie szczeki są symptomami, które mogą wskazywać na problemy z zębami. Wady zgryzu u zwierząt domowych charakteryzują się silnym przerostem siekaczy. Krótsza szczeka górna lub dolna jest przyczyna , ze siekacze nie osiągają idealnej pozycji podczas gryzienia, potrzebnej do ścierania krawędzi. Przy prawidłowym zgryzie nierównomierne lub nieprawidłowe ścieranie siekaczy może wskazywać na problematykę zębów trzonowych.






Jakie są możliwości leczenia zębów ?

Choroby zebów u królikaGłównym celem jest przywrócenie prawidłowego zgryzu siekaczy i zębów trzonowych, tak żeby umożliwić naturalne gryzienie i żucie. Skracanie siekaczy małym zwierzętom domowym jest z reguły możliwe bez użycia narkozy. Aby uniknąć powstawania odłamków/ rys np. aż do korzenia zrezygnujmy z cążek. Do tego lepiej nadają się szybko obracające się wiertła z diamentowa tarcza. Stopień skracania zależy od rodzaju zwierzęcia. U królików siekacze w przeciwieństwie do trzonowych dotykają się ze sobą, dobranie prawidłowej długości nie stanowi problemu. U gryzoni na odwrót. Zęby trzonowe, przy zamkniętej szczęce, dotykają się natomiast siekacze nie maja ze sobą kontaktu. Profesjonalne skracanie zębów trzonowych jest możliwe tylko pod narkoza czy znieczuleniu ogólnym. Choroby zebów u królikaTylko w ten sposób można dokładnie zbadać jamę ustna i po wykonaniu zdjęcia RTG rozpocząć prawidłowe, a dla pacjenta bezpieczne leczenie. Przy zachowaniu dużej ostrożności i ochronie miękkich części, szybko obracającym się instrumentem przeprowadza się korekcje zgryzu. Zdjęcia pokazują zęby przed i po operacji. Nie powinno się do tego celu używać cążków, ani pilników diamentowych, ponieważ ryzyko naruszenia fraktury zęba, czy skaleczenia miękkich części jamy gębowej jest nie do przewidzenia. Podczas przywracania naturalnego zgryzu zwierzakowi, należy pamiętać że powierzchnia gryząca powinna być odchylona o 10°, u świnek morskich o30 ° , a u szynszyli jest prawie horyzontalna. Jeśli nie można uniknąć usunięcia zęba,powinno się po udanej ekstrakcji oczyścić także zębodół. aby zapobiec odrostowi tkanki zęba. W związku z ograniczeniem jakim jest mały otwór gębowy zwierząt, czasami dojście do zęba jest łatwiejsze od zewnętrznej strony. Po usunięciu zęba , ząb przeciwległy ma tendencje do nadmiernego rozrostu, to może doprowadzić do wrośnięcia zęba w puste miejsce. Regularne kontrole i korektura jest nieodzowna.



Jak opiekun może zapobiec ?

Choroby zebów u królikaPrzywrócenie prawidłowej funkcji zębów małym zwierzętom jest powiązaną zwykle z długim i częstym leczeniem .Dlatego tak ważna jest profilaktyka, żywienie zgodnie z natura zwierzaka przestrzegane przez opiekuna. Równowaga pomiędzy przerostem , a ścieraniem zębów u zwierząt ze stale rosnącymi zębami funkcjonuje tylko przez podawanie ułatwiającego ścieranie pożywienia, jak trawa i siano w dowolnej ilości. Przez częste żywienie lub żywienie samym granulatem, zawierającym ziarna ścieranie zębów staje się niemożliwe. W naturalnym środowisku królik jako zwierzę czysto trawożerne, żywi się w dużej mierze szorstka trawa, korzonkami i innymi częściami roślin. Przez duża zawartość krzemianów w ziemi naturalne ścieranie powierzchni zębów jest bardzo skuteczne. Choroby zebów u królika Ruch szczeki królika na boki jest dalszym argumentem przeciwko karmieniu ziarnami i granulatami. Przy tym sposobie gryzienia np. ziarna pozostają często tylko zmiażdżone, a nie dobrze zmielone i połknięte, dlatego mogą być przyczyna zaburzeń trawienia. Naturalnym środowiskiem świnek morskich są wyższe partie And. Tu odżywia się przeważnie szorstkimi, twardymi trawami, które optymalnie pomagają w zużyciu powierzchni zębów. W przeciwieństwie do królików, u gryzoni żucie odbywa się ruchami szczeki do przodu i do tylu. Następnym aspektem ,który przemawia za sianem i trawa jest długość żucia. Naturalne jest, ze króliki i gryzonie większość cześć dnia zajęte są gryzieniem, aby uzupełnić swoje zapotrzebowanie na kalorie. Przez podanie rozdrobnionego już pożywienia w formie granulek, zwierzęta nie musza już prawie żuć co doprowadza do nudy, a nuda doprowadza do nadmiernego jedzenia i pobierania zbyt dużo kalorii. Ilość zwierząt z nadwagą i problemami z trawieniem trafiająca do naszej kliniki jest nieoceniona. I tak na poważnie, co byście państwo wybrali, chleb razowy czy Mousse-au-chocolat ?


Artykuł przetłumaczony przez Nune.




źródło do orginału:http://www.dentvet.de/html/zahnfalle_bei_heimtieren.html
Copyright@2009-2020 - Miniaturka bez tajemnic. Wszelkie prawa zastrzeżone.
Bez pisemnej zgody redakcji portalu Miniaturka bez tajemnic kopiowanie treści jest zabronione.
Plagiat jest przestępstwem zagrożonym określoną sankcją na podstawie przepisów prawa autorskiego. stat4u