Przepełnienie żołądka

powrót

powrot do choroby




Króliki posiadają bardzo skomplikowany i wrażliwy układ pokarmowy. Ich żołądek nie ma prawie muskulatury,
wiec jedzenie aby przebyć cala drogę musi być popchnięte następną zjedzona porcja.
Królik doskonale dba o swój układ pokarmowy pobierając do około 80 małych porcji jedzenia w ciągu doby.
Najlepiej gdy dostarczymy mu jedzenie małokaloryczne i wysoko włókniste, uszak będzie częściej po nie sięgał ,
a co za tym idzie układ pokarmowy nie przerwie swojej pracy.
Mieszanki i granulaty są zbyt kaloryczne, prowadza do dłuższych przerw pomiędzy pobieraniem pokarmu,
to może doprowadzić do rożnych powikłań zdrowotnych ( przerost zębów, zaparcia, wzdęcia itd.).
Króliki nie umieją wymiotować, a wiec to wszystko co uszak połknął (włosy, zepsute jedzenie itd.)
musi przebyć cala drogę by zostać w końcu wydalonym.
Zbyt mała ilość zjedzonego pokarmu, łapczywe jedzenie i połykanie dużych kawałków, brak dostępu do wody,
zbyt kaloryczny i pęczniejący pokarm oraz długie przerwy pomiędzy posiłkami utrudniają,
wydłużają lub uniemożliwiają transport, powodują zaleganie i fermentowanie treści pokarmowej.

Objawy:
- odmowa jedzenia,
- szczekanie/zgrzytanie zębami
- niepokój
- częsta zmiana pozycji, raz siedząca raz leżąca,
- płytki oddech
- zaokrąglony, twardy brzuch
Bardzo szybko te symptomy mogą się zaostrzyć i przejść w stan zagrażający życiu królika,
mogą wystąpić problemy z oddychaniem i układem krążenia.
Przepełnienie żołądka jest zawsze nagłym przypadkiem, należy natychmiast udać się z królikiem
do weterynarza.


Przed wizyta zadbajmy o ciepło pacjenta dając mu do transporterka owinięty w ręcznik termofor.
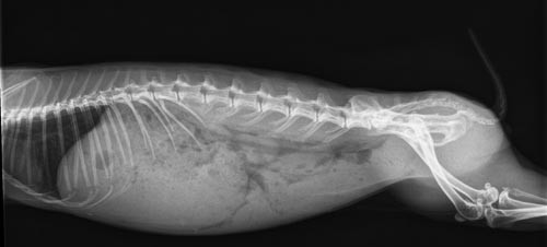
Weterynarz obmaca chory brzuch, dla potwierdzenia diagnozy powinno być wykonane RTG.
Na zdjęciu widać powiększony żołądek, wypełniony treścią pokarmowa.

Królik miniaturka

Źródło zdjęcia: http://www.kaninchenberatung.de


Wzdęcie byłoby widoczne jako czarne pole wypełniające żołądek, także zator kula włosowa można
odróżnić od przepełnienia.
Dla ustabilizowania układu krążenia królik dostanie kroplówkę, koniecznie powinien tez dostać środek
przeciwbólowy. Następnie uszak otrzyma lekarstwo poprawiające perylistyke jelit i probiotyk.
W domu dokarmiamy królika preparatem Critical Care rozpuszczonym w herbatce koperkowej.
Podajemy tez probiotyk i wykonujemy masaż kilka razy dziennie, pobudza on żołądek i jelita do pracy
i pomaga w wydalaniu.
Aby nie dopuścić do kolejnego przepełnienia należy zmienić dietę na wysoko włóknistą,
profilaktycznie przebadać kał na obecność pasożytów i skontrolować zęby królika.
Copyright@2009-2020 - Miniaturka bez tajemnic. Wszelkie prawa zastrzeżone.
Bez pisemnej zgody redakcji portalu Miniaturka bez tajemnic kopiowanie treści jest zabronione.
Plagiat jest przestępstwem zagrożonym określoną sankcją na podstawie przepisów prawa autorskiego. stat4u